Reporter's notebook: Why I decided to do elective medical tests like a whole body scan, and what I learned

Becky Worley is a consumer and technology correspondent for "Good Morning America."
When my 41-year-old best friend was dying of colon cancer, she told me she felt betrayed by her body. She was a fit and lean PE teacher who didn't drink or smoke, and the diagnosis of Stage 4 cancer came as a total surprise.
Eleven years after her death, I miss her every day and am still haunted by the idea that something could be lurking inside any of us that betrays even the healthiest of lifestyles.
That has led me to ask: Could access to enhanced medical screening temper that fear and anxiety?
Commercial, paid medical screening like blood tests, whole body MRIs and DEXA scans, which can evaluate bone density and percentage of body fat and muscle, offer insight into the body and are being advertised through celebrity endorsements and targeted social media ads. But do they lessen our fears of disease or increase them?
To see for myself, I tried out a blood testing service, a whole-body MRI and a DEXA scan.
Each gave me different insights and a different sense of relief and/or anxiety. Here are my takeaways from my experience.
Function Health blood test

I sign up for Function Health's $499 service that includes two consecutive days of blood draws and a urine test, checking 160 bio-markers delivered online with a clinician's writeup assessing the results. This fee includes a follow-up set of labs that can be done anytime within a year.
Function Health isn't the only option for those wanting detailed blood work: Quest Diagnostics offers a la carte testing from $29 to $385, Labcorp has its own options from $59 to $239, and startups like Everlywell offer similar testing for $34 a month.
When considering paying for lab work, I consulted Dr. Josh Cheema of Northwestern's Human Longevity Lab, who said many of the tests offered can be accessed as a part of an annual checkup, an argument countered by blood testing companies that claim they can provide more tests than many insurance companies will cover.
"I think a lot of these tests can be obtained from your regular doctor," Cheema said. "Actually, the majority of them, often, they're covered by medical insurance, especially when they're ordered for a clinical reason and they're supported by evidence-based guidelines."
My first blood draw with Function Health entails 10 vials of blood. The second day entails fewer vials. Within 24 hours of my tests, I start to get results. One month after my bloodwork, I get a detailed write-up from a Function Health clinician that says I need to watch my cholesterol because I have too many small LDL particles, often colloquially referred to as "bad cholesterol." What's interesting is that test wasn't offered at my annual doctor's visit, where my doctor said not to worry about my cholesterol.
The bloodwork also suggested I am a little low on omega-3s and iron, which I can try to improve with diet and supplements. But one result from the Function test does have me a little worried. The online dashboard says, "Antibodies out of range …which can be an early indicator of autoimmunity."
I don't really know how to interpret that. When I reached out to Function Health for comment, they said my results can be easily exported as a PDF to share or print out for discussion with my doctor.
Watch my experience here:
Overall assessment: B+, I will do this testing again, but maybe not for another three years. I am a data person and the information I gleaned gave me action items to work on.
Most importantly, I found value in the clinician's note with action items for me that felt personalized and specific. I love my doctor, and she is so generous with her knowledge, but our 15 to 20 minute appointment each year just scratches the surface on action items. The Function Health dashboard felt personalized, and it kicked off lots of learning and behavior modification for me.
Prenuvo whole body MRI
Celebrities like Kim Kardashian are all over social media promoting whole body scans. One company that offers them, Prenuvo, says it can catch major health issues like cancer, aneurysms or metabolic disorders like fatty liver.
This scan seemed to be one of the best ways to alleviate any fears I had about hidden disease. You can have varying parts of your body scanned, with costs starting at $999 for just the torso, going all the way up to $3,999 for a whole-body scan. Ezra, another company offering the scans, has a scaled-back torso scan that costs $499.
Prenuvo comped the cost of the whole-body scan for me.
As I walked into the MRI facility, I realized I had a lot of fear: Did I really want to learn about a hidden health issue? What if something like a brain aneurysm came up where I couldn't do anything about it but had to live with the thought of a potential ticking time-bomb in my body?
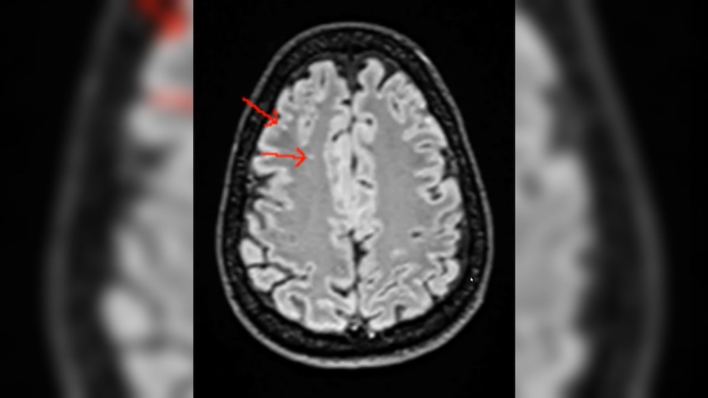
I went ahead with the scan and spent about an hour in the Silicon Valley facility. Two days later, I received access to an online dashboard showing my results. Reading them myself there were some findings that scared me: Some lesions in my brain and degenerative arthritis in my neck and spine (yes, I Googled all the issues and regretted it). But overall, there was no indication of cancer or serious disease, and that was a relief.
Dr. Matthew Davenport, a radiologist from the University of Michigan School of Medicine, told me, however, that elective MRI scans can do more harm than good.
"The risk is that the false positives dominate, and you end up with negative health value. You end up generating a lot of unnecessary testing," Davenport said, describing a scenario where a small anomaly on one of these scans leads to a "cascade of care," where people pursue issues with biopsies or other invasive procedures that can lead to complications and negative results.
As part of Prenuvo's premium package, a Prenuvo doctor met with me over Zoom to discuss the scan. This was incredibly helpful and put many of my fears to rest. The brain lesions were not of concern to the doctor, and considering my history playing a full-contact sport (15 years of rugby), the doctor said this was a very good brain scan. He said the arthritis was typical wear and tear for an athlete, but he was concerned with the MRI of my nose showing a seriously deviated septum. He wanted me to be rechecked for sleep apnea -- I do not have apnea per my most recent sleep study, but I do snore -- and he advised me to stay vigilant and get rechecked if I had any indication of reduced sleep quality.
Watch my experience here:
Overall assessment: C+, I would not do this again. I was surprised by how nervous I felt going into the scan and realized I could have opened a Pandora's box of worry that wouldn't calm my fears but make them worse. In the end, I think I was just lucky that there wasn't a worrying result that caused a cascade of care. Even though I appreciate being more cognizant of any sleep issues caused by my deviated septum, I will just stick to my regular mammograms and colon cancer screenings going forward.
DEXA scan
DEXA scans are low dose X-rays that show lean mass, bone density and body fat. I started getting them myself in 2023 and have used them to track my body composition through perimenopause.
I pay $50 for the scan at BodySpec, a chain based in San Francisco, but DEXA scans are available through many providers nationwide. The scan takes about seven minutes as a large bar slowly passes about 12 inches above your body.
The report generated shows images of your major mass types -- red for fat and blue for lean mass. You will learn your overall body fat percentage and the amount of visceral fat -- fat that is deep in your abdomen and surrounds internal organs -- you have. You will also learn how strong your bones are.
Dr. Vonda Wright, an orthopedic surgeon, told me the information garnered from a DEXA scan is critical.
"Right now, insurance will pay for DEXA scans on average at 65, but the reality is, bone health is something that we are concerned [about] across the lifespan," Wright said. "So I would love to see a movement toward younger women looking at their bone health.”
I have spent a lifetime playing sports and lifting weights, so I feel relieved that the bone-density report from my DEXA scan is pretty good. But my DEXA scan showed that from the last time I was assessed I have lost muscle mass, which is disheartening.
Based on the results, I've decided to try lifting heavier but fewer times each week to give myself more opportunity for recovery. I'll book a DEXA scan again in six months, and if I still don't see an improvement, I'll start working with a personal trainer to try to rethink my workouts.
Watch my experience here:
Overall assessment: A+, I will do this again, because it's not prohibitively expensive, understanding our bone health is so important for healthy aging, and DEXA scans provide detailed metrics to assess your exercise and lifestyle choices in a way that goes way beyond pounds and ounces on a scale.







